つくばヘルスケア歯科クリニック・029 - 860 - 8100
茨城県つくば市手代木にある

つくばヘルスケア歯科クリニックです
ムシ歯・歯周病予防に力を入れる

歯とお口の健康を守る歯科医院です
つくばヘルスケア歯科クリニック・当クリニックのオプション治療の種類 つくばヘルスケア歯科クリニック・当クリニックのオプション治療の種類
 


オプション治療の種類

保険適応では素材や方法などで制約が多く
ご不満をお持ちになる方も多くおられます
つくばヘルスケア歯科クリニックで行う
特殊なオプション治療費の種類




当クリニックのオプション治療


自費によるオプション治療について


自費によるオプション治療について 保険対応での治療では素材や費用の面で高級な素材や高度先端医療を用いる事が許されていません。
よりよい結果を求めるなら、自費による治療をお薦めいたしますが、その費用が高額になるため気軽に相談しにくいとのご意見を頂戴します。

このページでは、代表的なオプション治療の費用の目安を掲載しております。高度歯科治療をお考えの方は是非ご覧になって参考にしてください。
費用は状態や症状により変動します。状態によっては使用できない素材、治療法もありますので、あらかじめご了承ください。




オプション治療の種類


自費治療の種類
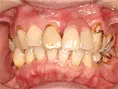
詰め物・インレー ■セラミックインレー(自費)
セラミックインレー(自費)・治療前・樹脂製の詰め物が割れて浮いています 治療前
セラミックインレー(自費)・治療後・ピタリと適合し色も自然に仕上がっています 治療後
プラスチックが破折したため審美的なセラミックインレー(左上小臼歯:○部分)を入れました
セラミックインレーは特殊な陶器で 歯と強度を近く作ってあるため高い耐久性があります 色を歯に合わせることも可能です

※ 1本単位で費用を算出します
※症状により費用が変動します
※写真をクリックすると拡大されます
■メタルインレー(自費)
メタルインレー(自費)・金合金で作る鋳造インレーは歯との境界の適合精度の高さと強度が特徴です 治療後
金合金で作る鋳造インレーは
歯との境界の適合精度の高さと強度が特徴です
※ 1本単位で費用を算出・症状により費用が変動します

※写真をクリックすると拡大されます
被せ物 ■硬質レジン前装冠(自費)
硬質レジン前装冠(自費)舌側 舌側
硬質レジン前装冠(自費)頬側 頬側
保険治療では 奥歯は銀歯ですが表側だけプラスチックを貼付けた前装冠は保険の作り方と同じです
審美性が高いですが廉価に治療できます
○印部分がプラスチック貼付け部分です
金属は保険適応のものを使用します

※ 1本単位で費用を算出します
※症状により費用が変動します
※写真をクリックすると拡大されます
■ハイブリッドレジン冠(自費)
治療前 治療前
ハイブリッドレジン冠・治療後 治療後
強化プラスチックの被せ物で金属を使用していません

※ 1本単位で費用を算出します
※症状により費用が変動します
※写真をクリックすると拡大されます
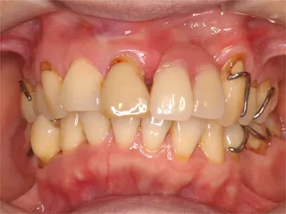
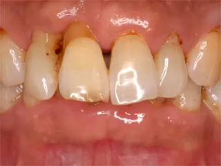
■ピンレッジ(自費)
治療前・前歯を抜歯しています 治療前
治療後・自然な仕上がりです 治療後
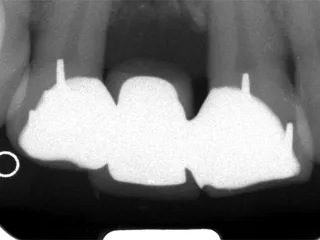
ピンレッジ・装着前の単体の状態 ピンレッジ
ピンレッジ・レントゲン写真 レントゲン写真
両側の歯が健全なとき ブリッジだと歯を削る量が多く犠牲が大きいという欠点があります
歯の裏だけを巧妙に削り ピンを立てる技法で
前から見ると金属が見えないため
審美性に優れ歯の犠牲を極力少なくした治療です

※ 1本単位で費用を算出します
※症状により費用が変動します
※写真をクリックすると拡大されます
■メタル冠(自費)
タル冠・歯との境目の適合精度は最高レベルです 見た目以外は大変優れています ゴールドメタル冠
金属製の被せ物です
歯との境目の適合精度は最高レベルです
見た目以外は大変優れています

※ 1本単位で費用を算出します
※症状により費用が変動します
※写真をクリックすると拡大されます
■メタルボンド冠(自費)
メタルボンド冠・金属の冠の表面にポーセレンとという陶器を焼き着けたものです メタルボンド冠
金属製の被せ物で 金属の冠の表面に
ポーセレンとという陶器を焼き着けたものです
審美性も高く 他の歯に色を合わせる事が可能です

※ 1本単位で費用を算出します
※症状により費用が変動します
※写真をクリックすると拡大されます
■オールセラミック冠(自費) 金属を使用せず 陶器の材質だけで作られた被せもので金属アレルギーの方にはおすすめです
審美性は高く色調も自然です
ただし ブリッジには適用できない場合もあります

※ 1本単位で費用を算出します
※症状により費用が変動します
入れ歯 ■金属床義歯・チタン製
金属床義歯:チタン製・装着時(上側)・ステンレスに比べチタンは軽く適度な弾力があり違和感が少ないのが特徴です 装着時(上側)
金属床義歯:チタン製・外した状態・軽く強度があるため小さく薄くできます 外した状態
金属プレートで補強された入れ歯です
咬む力が強くなります
ステンレスに比べチタンは軽く適度な弾力があり違和感が少ないのが特徴です
このケースでは 人工歯の咬む面を金属化し磨耗を少なくするオプションを行っています

※片側 1装置単位で費用を算出します
※症状により費用が変動します
※写真をクリックすると拡大されます
■金属床義歯・ステンレス製 ※片側 1装置単位で費用を算出します・症状により費用が変動します
■バルプラスト(軟性義歯)
保険の義歯 保険の義歯
保険の義歯 保険の義歯
バルプラスト・柔らかい素材のため装着感が楽になります バルプラスト
バルプラスト・薄くできるので違和感が軽減されます バルプラスト
保険義歯は鉤が金属でプラスチック製なので割れないように厚く大きく作ります
同じケースで 軟性義歯「バルプラスト」に切り替えると鉤がないので審美性に優れ装着感が楽になると好評です

※片側 1装置単位で費用を算出します
※症状により費用が変動します
※写真をクリックすると拡大されます
■無痛デンチャー(総入れ歯のみ)
無痛デンチャー・仮義歯を利用したカスタムメイド義歯で痛くないのが特徴です 保険の義歯
治療用義歯と本義歯の 2段階で作る痛くないフルオーダーの義歯です

※片側 1装置単位で費用を算出します
※症状により費用が変動します
※写真をクリックすると拡大されます
矯正治療(全額自費)
標準的なケース
■相 談 ※相談料が必要です
■精密検査
セファロレントゲンを撮影し分析します
※レントゲン撮影・分析費用が必要です
■装 置 ※装置製作・装着時の費用が必要です
■再診調整 ※再診・調整費用が必要です
※費用につきまして 治療の各段階で費用が必要です
装置以外の費用を含めた総額が治療費となります
ケースによっては費用が変動します

矯正歯科・くわしく
インプラント インプラントは第二の歯とも呼ばれ顎の骨に金属製のネジを立てて人工の歯を取付けます当院では高い技術と豊富な経験で対応しています 治療前
インプラントは第二の歯とも呼ばれ顎の骨に金属製のネジを立てて人工の歯を取付けます当院では高い技術と豊富な経験で対応しています 治療後
インプラントは第二の歯とも呼ばれ
顎の骨に金属製のネジを立てて
人工の歯を取付けます
当院では高い技術と経験で対応しています

矯正歯科・くわしく
ホワイトニング ■ホームブリーチ
自宅で行えるホワイトニングです

※片側ずつ費用が必要です
■ウォーキングブリーチ
ウォーキングブリーチ 施術前・歯の色が黒っぽくなっています 施術前
ウォーキングブリーチ施術後・自然な歯の白さを取り戻しました 施術後
神経のない歯の漂白です
神経が治療されている歯は年数が経過すると着色することがあります
歯の内部に漂白剤を詰めて歯を白くすることができます
効果には個人差があります

※ 1本単位で費用を算出します
※写真をクリックすると拡大されます

自費治療・保険治療と自費治療の比較





PAGE TOP