|
|

■保険対応の被せ物
■自費対応の被せ物
■保険対応の入れ歯
■自費対応の入れ歯| 保険義歯 1本義歯 |
未装着
|
■長所 ・前後の歯は削らない ・安い ■短所 ・鉤が金属で目立つ ・違和感がある |
|---|---|---|
| 保険ブリッジ |
保険ブリッジ・頬側
|
■長所 ・安い ■短所 ・前後の歯を削り犠牲にする ※前後の歯を削り被せものをします ※抜けた歯のかわりに金属が付いています |
| 自費義歯 |
未装着
|
■長所 ・前後の歯は削らない ・鉤がないため違和感が少ない ・装着が楽 ■短所 ・高い |
| 自費ブリッジ |
保険のブリッジ
|
通常のブリッジでは 正面から金属が見えてしまいますが ピンレッジでは見えません ■長所 ・金属が見えない ■短所 ・前後の歯を裏だけ削る ・前後の歯が健全な場合のみ可能 ・高い |
| 自費ブリッジ |
保険のブリッジ
|
通常のブリッジは 強度を維持するため大きくなります メタルボンドは 適正なサイズで色も自然です ■長所 ・金属が見えない ■短所 ・前後の歯を削り犠牲にする ・高い |
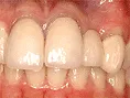
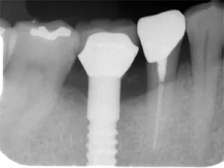
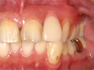
| 自費治療 インプラント |
治療前
|
インプラントは第二の歯とも呼ばれ 顎の骨に金属製のネジを立てて 人工の歯を取付けます 当院では高い技術と経験で対応しています ■長所 ・しっかり噛むことができる ■短所 ・禁忌症がある ・高い インプラント・くわしく |