|
|
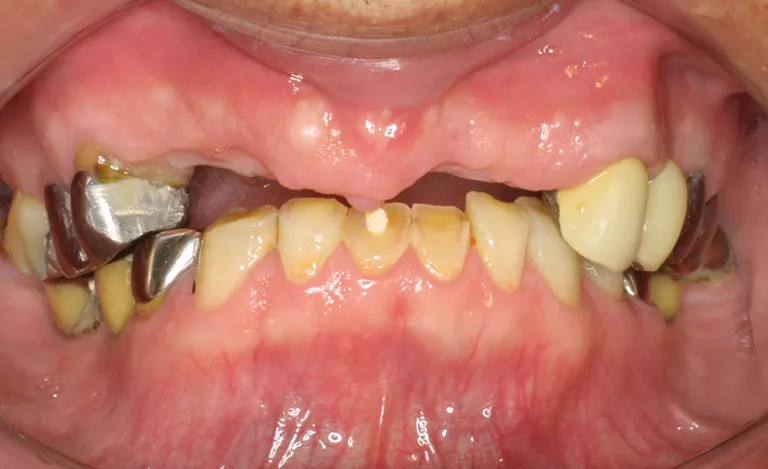
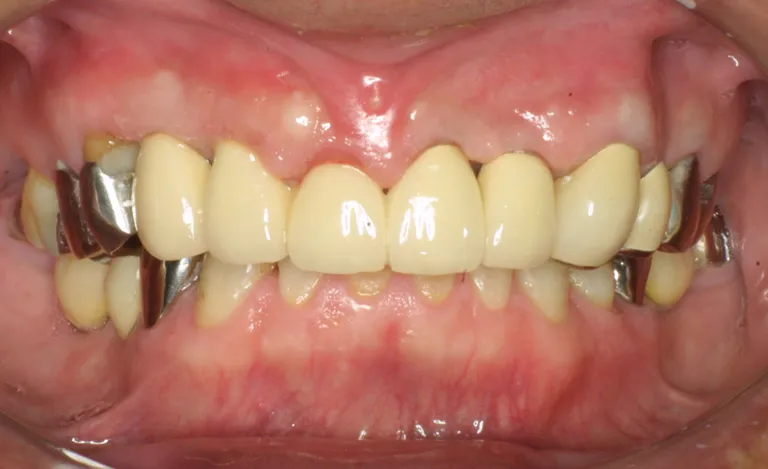
| インプラント治療が不適当な場合は次のようなケースです。 インプラント治療ができないケースでは、入れ歯やブリッジによる従来型の治療の対応になります。 |
1 |
植立する部位の顎の骨の量が少ない場合 ※骨の移植術・増殖術を受けると可能な場合もあります |
|---|---|
2 |
歯周病の定期管理を受けない方 |
3 |
歯周病が重症で歯を失った方 |
4 |
喫煙者 ※治療を希望するときは禁煙が条件です |
5 |
歯ぎしりや食いしばりが強い方 ※治療するときはナイトガードなどの 保護マウスピースが必須です |
6 |
糖尿病などの全身的疾患を有する方 ※歯周病との関連も疑われています |
■初診でのご来院

■インプラント手術
■術後管理

■定期的なメインテナンスケア