
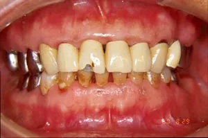
歯を失う原因の38%を占めるとされる歯周病は、様々な要因から起こる疾患です。
1番目の要因としては患者本人の抵抗力、免疫力の不足があげれます。これには、遺伝的要因も関与すると言われています。最近の研究で全体の20%の人は治療したにも関わらず、免疫力の低下や遺伝的要因のため、歯周病により歯を失っています。
2番目は生活習慣病ともいえる要因で、特に喫煙は最大のリスクとされています。また、糖尿病などの全身疾患の影響も疑われていて、生活習慣の改善と健康な体づくりが大切であることがわかります。
3番目の要因として、歯周病に特定の細菌が関係していると考えられていることが挙げられます。様々な研究から、
・Actinobacillus
・actinomycetemcomitans(Aa菌)
・Prophyromonas gingivalis(Pg菌)
・Bacteroides forsythus(Bf菌)
らが容疑者である事には十分な証拠があります。Aa菌は、歯周病の若者でよく発見され、Pg菌やBf菌は、成人型歯周炎の患者の口の中で頻繁に見つかります。しかし、これらの細菌が存在しても歯周病にならない人もいますし、どの程度の数の細菌が口の中にいれば、歯周病になるかについては、その人本人の抵抗力の差によって左右されるので、一般的には歯周病について細菌検査をすることは意味がないとされてきました。
それより大きな理由は、歯周病の細菌の特定は、細菌の遺伝子レベルでの調査が必要で、その検査にかかる費用は高額になります。
そのため、現時点では、歯周病の検査は、主に病気の為にできた、歯周ポケットやポケットからの出血などを調べ、歯周病にかかっているかどうかを調べるレベルに留まっています。歯周病は発症してから対処しても、元の健康状態に戻ることはできません。
一生自分の歯で噛むためには、将来歯周病を発症しやすいハイリスク者を診断する技術が必要です。一つの可能性は、歯周病に負けてしまう遺伝子要素を調べることですが、自分の遺伝子を検査することには、まだ抵抗があるかもしれません。
もう一つは、歯周病が少なくとも細菌の感染症であり、歯周病にかかっている人は、Aa、Pg、Bfなどの細菌がいます。問題は、個人個人で定期的に歯周病菌の数を調べて、多くの人のデータから歯周病にかかる細菌の数と、その他の歯周病の検査データを調べて、歯周病になる前に気付き予防出来るかです。
すでにつくばヘルスケア歯科クリニック、千ヶ崎歯科医院において、定期管理に来院される患者さんの唾液から歯周病の原因の菌の遺伝子を検査しています。この検査は、PCR(Polymerase
Chain Reaction)法とよばれ、唾液サンプルの中に歯周病菌が存在するかと、その数も調べる事ができます。検査を外注すると、一回に約 15,000円程度の費用がかかり、すべての患者さんのスクリーニング(大まかなふるい分け診査)に使用することは不可能です。
そこで院長は、東京医科歯科大学付属病院歯周病学教室に籍をおき、同研究室石川烈教授、梅田誠助手の指導を受けて検査器械一式を導入、院内で検査ができる体制を整えました。これにより、1細菌あたりの検査コストは2,000円にまで低下させることができました。検査費用を極限にまで下げることで、多くの患者さんに定期的な歯周病菌の検査を気軽に受けていただけると思います。
この研究結果から、何 100人、何 1,000人というレベルで年齢、歯周病の状態、細菌の数の関係が分かれば、歯周病になる前に予知し、予防する事ができると考えています。
※写真をクリックすると拡大されます