|
|
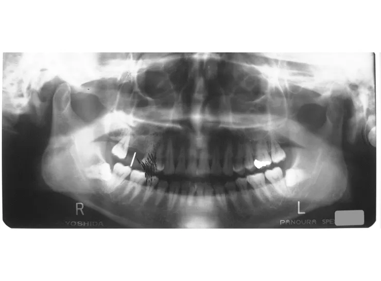
普通は痛みや出血など、自覚症状が出はじめてご来院いただく事がほとんどだと思いますが、一度ムシ歯になって削り、詰め物や被せものを入れてしまうと、その後必ず定期的な手入れが必要になってきます。
■初診でのご来院


■気になる部分の治療開始
■リスク分析と治療・予防計画の立案
■全体的な歯科治療
■治療が終了します
■終了カウンセリングを行います
■定期的なメインテナンスケア
■あなたの歯科治療費| 治療内容 | 日本 | アメリカ | ドイツ |
|---|---|---|---|
| 歯内療法 (根の治療) |
・1根管:6,000円 (負担金 1,800円) |
・1根管:30,000円 |
─ |
| ・大臼歯:11,000円 (負担金 3,300円) |
・大臼歯:100,000円 | ─ | |
| 前歯虫歯治療 | ・1本:2,500 ~ 5,800円 (負担金 750 ~ 1,800円) |
・1本:20,000 ~ 30,000円 |
─ |
| 前歯クラウン | ・1本:25,000円 (負担金 7,500円) |
・1本:150,000円 | ・1本:100,000円 |
| 奥歯クラウン | ・1本:12,000円 (負担金 3,600円) |
・1本:100,000円 | ・1本:65,000円 |
| クリーニング PMTC |
・全顎:6,000円 (45分) (負担金 2,000円) |
・全顎:20,000円 (1時間) |
・全顎:24,000円 (1時間) |
| 詰め物 | ・プラスチック(歯の色) | 1本あたり:750 ~ 1,800円 |
|---|---|---|
| ・型取りしたインレー | 1本あたり:1,500 ~ 2,000円 | |
| 被せ物 | ・奥歯(金属歯) | 1本あたり:3,000 ~ 3,700円 |
| ・前歯(前装冠) | 1本あたり:7,000 ~ 7,500円 | |
| 根の治療 | ・神経が死んでいる前歯 | 1本あたり:1,700円 ~ |
| ・神経が生きている大臼歯 | 1本あたり:3,400円 ~ | |
| 抜 歯 | ・簡単な前歯 | 1本あたり:700円 ~ |
| ・埋まっている親知らず | 1本あたり:~ 4,800円 | |
| レントゲン 検査・指導 |
・初診料+全顎レントゲン | ~ 3,000円 |
| ・全顎レントゲンのみ | ~ 2,000円 | |
| ・歯周検査+指導 | ~ 1,500円 | |
| 歯石除去 | ・縁上歯石除去 (あるいはPMTC) | 全顎:1,500 ~ 2,000円 |
| ・縁下歯石除去 (1/4顎 ~ 1/6顎につき) |
1ブロック:1,300 ~ 2,000円 | |
| メンテナンス | ・メンテナンス初回 (歯周病指導料込み) |
1,500 ~ 2,400円:歯の本数による |
| ・メンテナンス継続(歯周病) | ~ 2,000円 | |
| ・メンテナンス(小児) | ~ 1,500円(フッ素込み) | |
| 月に1回を限度に 算定される指導料 |
・歯科衛生実地指導料(全員) | 240円 |
| ・歯周疾患指導管理料(16歳以上) | 330円 | |
| ・歯科口腔衛生指導料(16歳未満) | 300円 | |
| 入れ歯 (保険適用) |
・型取り・噛み合わせ採得 ・試適・装着を含む (片側1装置につき) |
最小の部分入れ歯:~ 5,000円 |
| 総入れ歯:~ 10,000円 |