|
|
私達「つくばヘルスケア歯科クリニック」が考える歯科診療とは、健康な暮らしをつくるという事に他なりません。予防歯科は生まれた瞬間から始まると言っても過言ではありません。健康な身体をつくるにはしっかり食べる事。私達は歯の健康を通して健康な暮らしを守ります。
■初診でのご来院
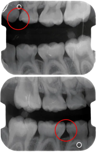
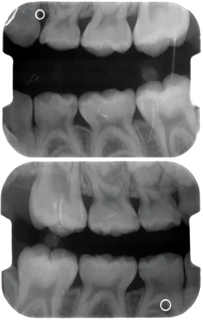
症例:一見カリエスフリー(ムシ歯のない)症例の

■定期的なメインテナンスケア| 6歳 ~ 15歳の予防歯科・費用と時間 (6歳未満の幼児では保険の点数が異なります) |
|
|---|---|
| 検査等を行う時期 | 初診時 |
| 費 用 | ~ 1,410円 |
| 時 間 | 45分 |
| 内 訳 | ・初診料 ・歯科口腔衛生指導 ・衛生実地指導 ・レントゲン写真撮影 |
| ご注意・条件 | ※費用は基本的に保険適応・三割負担での計算です ※諸条件により変動します、目安としてお考えください ※保険の改正等により変更になる場合がございます |
■初診でのご来院

■定期的なメインテナンスケア
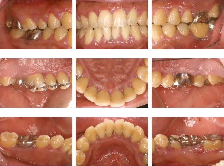
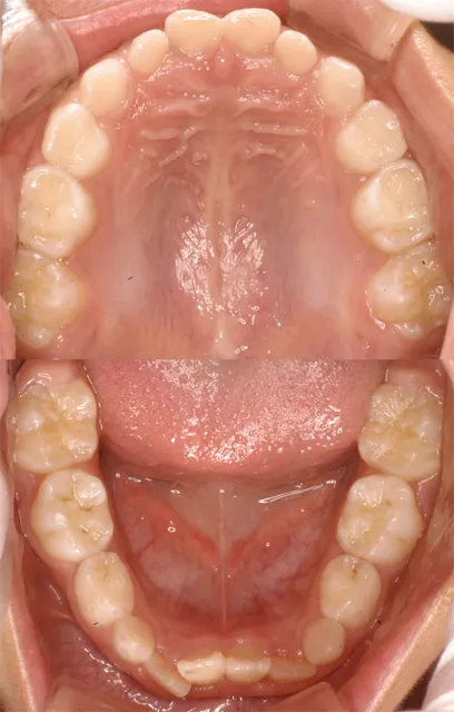
ご説明:説明は口腔写真とレントゲンを対比して、2つのモニタで表示した画面を見ながら行います。 また、口腔写真やレントゲン写真は 、画像を印刷してファイリングしてからお渡しするサービスを行っています。
歯周病が特に悪い方は、さらに詳しい歯周囲組織検査を行う場合もあり、その場合は費用の加算があります。
この説明を通じてご自分のお口の状態を知っていただき、今後の治療の計画、メインテナンスの計画をお立てします。ムシ歯菌や歯周病菌の検査を必要とする方にはご説明し、ご了承を得てから実施します。| 16歳以上の予防歯科・費用と時間 | |
|---|---|
| 検査等を行う時期 | 初診時 |
| 費 用 | 2,000円 ~ 4,000円 ※歯周検査のレベル レントゲン撮影枚数により変動します |
| 時 間 | 60 ~ 90分 |
| 内 訳 | ・初診料 ・歯周基本検査 ・歯周疾患指導管理 ・衛生実地指導 ・口腔写真 ・レントゲン全顎撮影 |
| ご注意・条件 | ※費用は基本的に保険適応・三割負担での計算です ※諸条件により変動します、目安としてお考えください ※保険の改正等により変更になる場合がございます |
| ムシ歯菌検査 | |
|---|---|
| 費 用 | 1,100円 ~ 3,300円(自費・税込) |
| 時 間 | 10分 |
| 内 訳 | ・ミュータンス菌 ・乳酸菌 ・だ液中和力 の3つを調べます |
| 歯周病菌検査 | |
|---|---|
| 費 用 | 4,400円(自費・税込) |
| 時 間 | 10分 |
| 内 訳 | 歯周病菌の原因菌3種をDNA鑑定します |
| 総合菌検査 | |
|---|---|
| 費 用 | 5,500円(自費・税込) |
| 時 間 | 10分 |
| 内 訳 | 「ムシ歯菌」と「歯周病菌」の検査を同時に行う場合の割引価格 |
| ムシ歯リスク検査査 | |
|---|---|
| 費 用 | 3,300円(自費・税込) |
| 時 間 | 10分 |
| くわしい情報 | くわしくはこちら(ムシ歯リスク検査) |