つくばヘルスケア歯科クリニック・029 - 860 - 8100
茨城県つくば市手代木にある

つくばヘルスケア歯科クリニックです
ムシ歯・歯周病予防に力を入れる

歯とお口の健康を守る歯科医院です
一般歯科診療について・つくばヘルスケア歯科クリニック 一般歯科診療について・つくばヘルスケア歯科クリニック
 



歯科治療

一般的な歯科治療について説明しております
当クリニックでは保険適用の一般的な歯科治療も
しっかりと噛めて再発しにくいよう
高い精度で行っております





当クリニックが行う歯科治療


当クリニックが行う歯科治療  治療が必要なときは高い技術で対応します。歯を削って詰める「保存修復治療」歯の神経を取り除き歯の根に侵入したバイ菌を除去する「歯内治療」治療のために被せたり抜いた歯の後の補綴治療(ほてつちりょう)の説明です。

いずれも当医院では世界レベルで治療しています。義歯、広範な噛み合わせの回復、最新のインプラント治療まで、最善の対応を施します。




保存修復治療


歯に開いたムシ歯を削って詰める治療


前歯のムシ歯治療前・ムシ歯のため大きな穴があいてしまっています
前歯ムシ歯治療前
ムシ歯を取り除きます・ムシ歯菌を残さないよう注意して削らないといけません
ムシ歯を取り除く
詰めた治療後・見た目もきれいに仕上がりました
詰めた治療後

 保存修復治療とはその名の通り、今ある歯を「保存」しながら壊れた箇所を「修復」して「治療」する治療法です。

 穴の開いた虫歯は、虫歯菌に汚染された歯質を取り除いて、詰める治療が必要です。一昔前は、アマルガムという金属を詰めました。これは、水銀を含む合金ですが、アメリカ歯科医師会(ADA)の研究でも、人体に対する副作用は、証明されていません。約100年にわたり、使用されてきた材料です。
従来型の治療では、削って型どりして作るインレーです。金属を使用したこの修復法は、詰めものを入れやすいような形に歯を削る必要があり、ムシ歯の部分以上に健康な歯を大量に削る治療でした。

現時点では、歯質に接着するレジンというプラスティックで修復することが多くなりました。特に、最近は、MI(Minimal Intervention 最小侵襲療法・治療のために削る歯をできる限り少なくします)が基本的には選択されるため、ムシ歯にかかった歯質だけを選択的に取り除き、そこにレジンを詰める治療が主流です。奥歯のかみ合わせの部分にも対応できる材料がありますので、奥歯を白く目立たないように詰めることが可能になりました。






歯内治療


神経を取り根のバイ菌を除去する治療


根の治療の様子・ゴムの膜(ラバーダム)を歯にかけて無菌的な治療ができるようにしています・神経を取った歯の根に菌が入り再び悪化する危険性が激減します  放置したムシ歯が神経に触るようになると、激しい痛みが起こります。この場合、神経を取り除く必要があります。また、一度過去に神経を治療しても、根の先に膿が貯まり、腫れて、激しく痛むこともあります。この場合も、再治療して神経の消毒をやり直す必要が出てきます。
神経の治療は感染したバイ菌で傷んだ部分を取り除き、神経の通 り道に菌を入れずに封鎖することです。初めて神経を治療する場合大事なことは、お口の中やだ液にいるバイ菌が神経の管に入らないようにすることです。再治療でも、歯の神経の通り道に出来るだけバイ菌がいなくなるように消毒する必要があります。そのため、ラバーダムというゴムの膜を歯にかけ、口の中で舌や唾液が触れないように治療します。多くの場合、神経は前歯は 1本、奥歯では 3 ~ 4本以上あります。根の治療は時間も治療回数も多くなり、治療を受ける側も行う側も負担になりますが、丁寧に治療しないと再発しやすくなるので、きちんとした処置を受けるようにしましょう。
当クリニックでの神経の治療は、保険対応です。






補綴治療(ほてつちりょう)


被せる治療


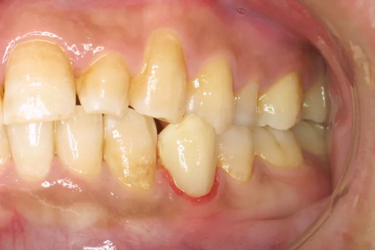
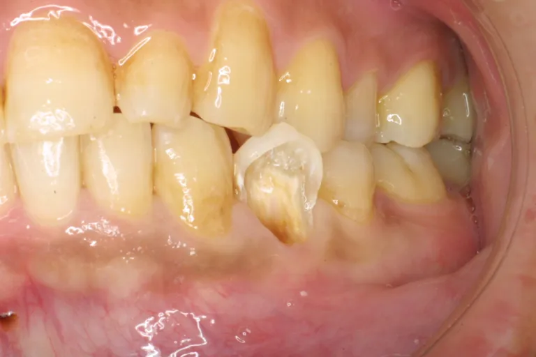
■術前・ご来院時の状態は神経が残っていて被せものの中がムシ歯になり痛みがひどい状態でした
■術 前■
神経が残った状態
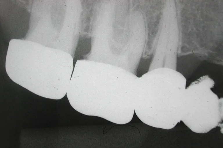
■術後・被せものを取って歯の根にある神経を取って心棒を立て新しい被せものを取り付けました
■術 後■
神経を取りました
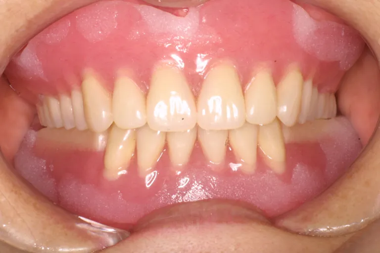
■術後・舌側からの写真では金属が見えますが外から見ると樹脂やセラミック等で作った白い歯が見えます
■術後の状態■
舌側を金属で支え外側は白い歯です

 補綴(ほてつ)治療とは歯が欠けたり、なくなった場合にクラウン(被せもの)や入れ歯などの人工物で補うことをいいます。

大きな虫歯の結果 、神経を取る治療を受けると、歯の形をもとに戻す必要が出てきます。 このとき、被せる治療が行われます。大抵は、失われた歯を一度もとに再建するために、神経の管に芯棒を立て、土台を構築します。被せ物はその土台の上に被せます。このような被せ物は差し歯と呼ばれます。 また、抜いてしまった歯を補うために、両脇の歯を削ってブリッジを入れる治療もあります。このときは、脇の歯は健康であっても、一層削って被せることになります。


治療の精度


■術前・他医院で治療された被せもので精度が低く歯との境の縁があっていないため段差ができています
■術 前■
被せ物の縁が

あっていない
■術前・被せものはセメントを盛って取付け段差を埋めますが縁の制度が低いと境目のセメントが取れた時に大きな段差ができます
■術 前■
被せ物の縁が

あっていない
■術後・精密に縁を合わせていますのでセメントを盛る前の仮付け状態でも段差がほとんどありません
■術後の状態■
被せ物の縁が

あっている


■保険対応の被せ物
保険で指定された金パラジウム合金(主成分は50%近くは銀)を使います。目で見ながらの作業で、縁の合わせ方は、良くて100ミクロン(10分の1ミリ)です。セメントして付けると、150ミクロンくらい縁が合っていません。この程度の精度では、短期間では問題ありませんが、虫歯にかかりやすい人では、縁からセメントが溶けて、2次的な虫歯が発生することが多く起こります。
レントゲンで、縁が歯と合っていない被せ物では、このレベルの何倍も不適合であることは珍しくありません。被せものの縁に爪が引っかかるレベルでは、歯の寿命に影響がある場合も出てきます。当クリニックでは、自費において、さらにレベルの高い治療ができており、保険の対応においても、十分な配慮が行われています。当クリニックの被せ物は保険であっても、爪が引っかかる、レントゲンでズレがあるということはありません。


■自費対応の被せ物
通常は、金の含有量の多い白金加金を用います。この金属は、良好な物性を持ち、型どりした歯に上手く合わせることができます。
保険対応の治療が、目で見た範囲での技工である一方で、自費対応の治療では、技工士が20倍の実態顕微鏡で作業し、型どりした模型上で、縁の合わせ方が20ミクロン(50分の1ミリ)を目標にします。
この精度で被せ物を製作すると、セメントで付けたあと、50ミクロン程度の適合度になります。このレベルの精度があれば、縁からバイ菌が侵入しにくくなることがわかっています


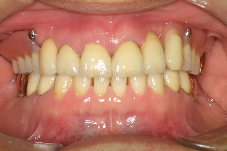
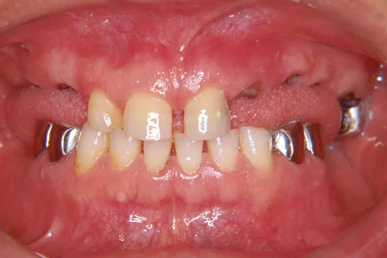
■術前の状態■多くの治療跡があり上顎は大半の歯が失われています総合的に見直して治療する必要があります
■術前の状態■
多くの

治療跡があり
状態が悪い
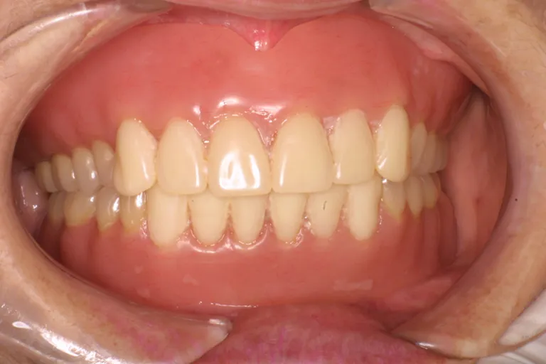
■術後の状態■インプラント・メタルボンド・アタッチメント義歯を含む包括的治療の例です
■術後の状態■
様々な治療法を

用いた
包括的治療の一例
■術後の状態■しっかりと噛める強度と快適な装着感で外からは自然な見た目です
■術後の状態■
しっかり噛める
口腔環境にします






入れ歯治療


■術前・歯が広範囲に失われ治療履歴が多いため全体的に見直しす必要がありました
■術前の状態■
■術後・左下が新しく作った部分入れ歯です 部分入れ歯では残った歯に鈎(かぎ)をかけて支えます
■術後の状態■


 歯が広範囲に失われ、しかもブリッジで治療しない場合や、ブリッジでの治療が困難な場合には、取り外し式の入れ歯を作ることになります。

総入れ歯では、土手の粘膜に吸着するように作りますが、部分入れ歯では、残った歯に鈎(かぎ)をかけて支えます。


保険治療と自費治療の違い


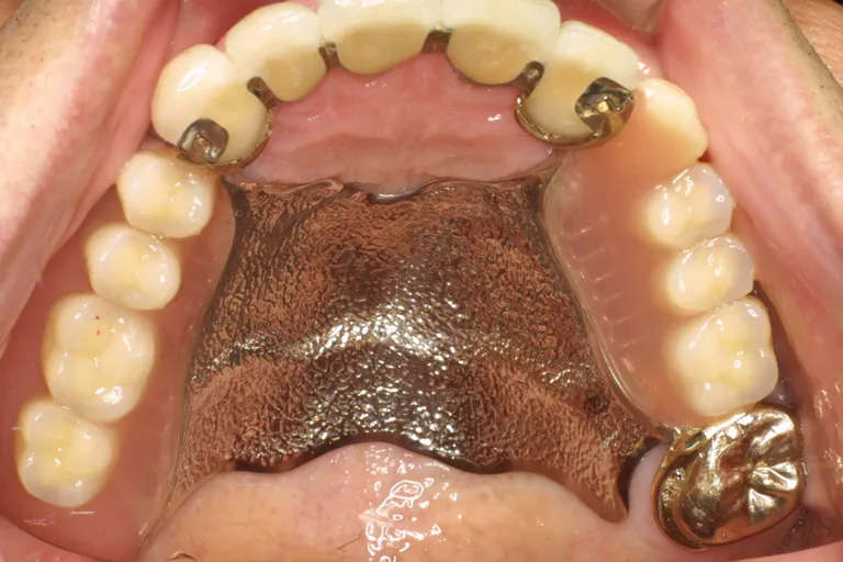
■口の状態・上顎
■口の状態■
上顎
■口の状態・下顎
■口の状態■
下顎
■他医院で製作された保険対応の入れ歯・素材に強度がないため大きく見た目も不自然で経年劣化で歪みが生じていました
■保健対応の入歯■
他院で製作・術前

■仮義歯試適・まず仮の入れ歯を作り調整していきます
■仮義歯試適■
仮の入れ歯で調整
■調整中仮義歯・仕上がりに近い状態です 噛み合わせの具合や見た目の良さを見ながら調整します
■調整中仮義歯■
仕上がりに近い状態
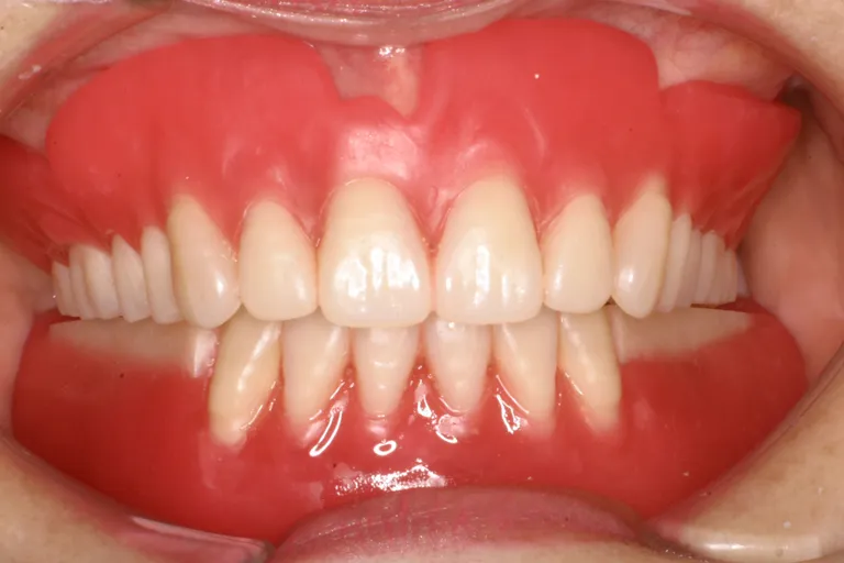
■自費対応の術後の入れ歯・適切な大きさになり見た目も自然に仕上がりました 強度がある素材が使えるため耐久性も高くなります
■自費対応の入歯■
当医院で製作


■保険対応の入れ歯
原則としてプラスティックが材料。金属線で補強することもあります。歯にかける鈎はプラスティックに直接埋め込み成形します。
強度がないため耐久性がなく、変形したり壊れやすいので、定期的に作り直す必要があります。
保険治療では 6ヶ月経てば再製作が認められています。

■自費対応の入れ歯
金属プレートを使用したり、部分入れ歯でもプレートと鈎を一体で作ります。
金属は、主としてコバルトクロム合金、チタン合金、白金加金などが用いられます。保険対応に比べ、強度、耐久性が高く、また、たわみにくいので咬んだときの痛みも少なくなります。
欠点としては、土手が変化した場合にフィットしなくなり、修正するにはプラスティックで床を敷き直すか、再製作しなければなりません。

※画像をクリックで拡大されます


噛みやすく自然な口元を作れる自費入れ歯・お使いの入れ歯にご不満がある方はぜひご相談ください  自費対応の入れ歯を製作すると、噛み易さはもちろん自然な印象の口元になります。
保健対応の入れ歯に不満をお持ちの方はご相談ください。

※画像をクリックで拡大されます






インプラント


取り外し式の入れ歯では満足できない場合に金属を埋め込み その上に歯を作るインプラント治療が行われています  取り外し式の入れ歯では満足できない場合、現在は顎の骨に直接チタン製の金属を埋め込んで、その上に歯を作るインプラント治療が行われています。
詳しくは、オプション治療をご覧下さい。

※画像をクリックで拡大されます

インプラント治療の詳細





PAGE TOP